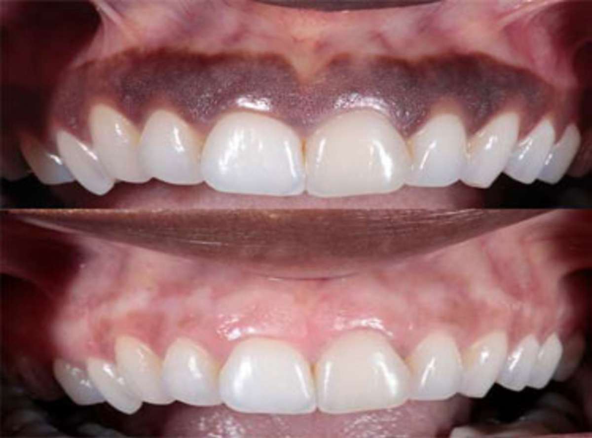
Although it is not a medical problem, many people complain of dark gums as unesthetic. Gingival depigmentation is a periodontal plastic surgical procedure, whereby the hyperpigmentation is removed or reduced by various techniques.
Station Road Rupnarayanpur 1.30pm - 4.30pm (Mon-Friday) 12.30am-1.30pm (Saturday)
Hanuman Chadai, Barakar
6.30pm-8.30pm (Mon-Sat)
Copyright © 2024, Harneet's Dental Care. All Rights Reserved.
